Dra. Andréa Lopes Giannattasio Navarro
Gerente de Odontologia do Seconci-SP e especialista em Odontologia Hospitalar
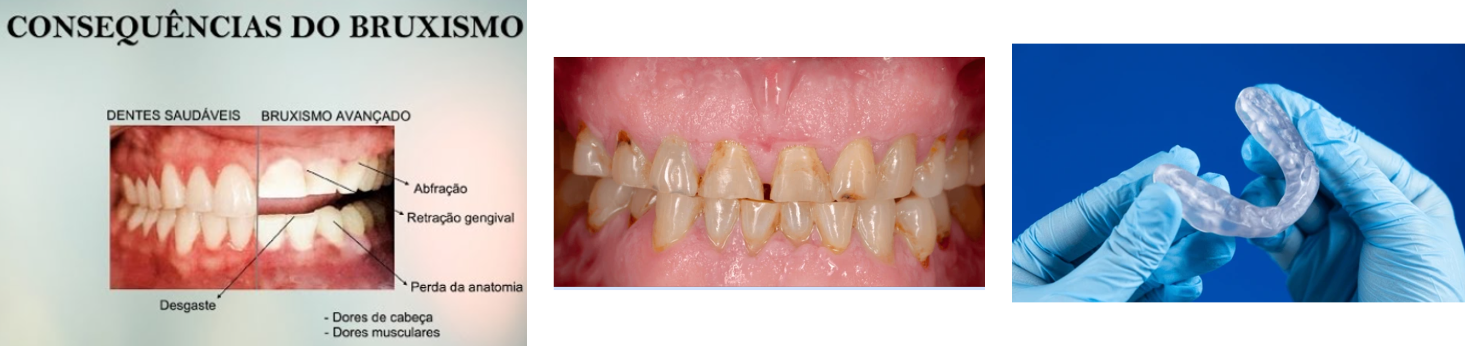
O estresse afeta a saúde e tem impacto direto na saúde dos dentes. Juntamente com a ansiedade, pode desencadear transtornos bucais como o bruxismo, que é marcado por uma sobrecarga muscular, dores intensas, dentes desgastados e até fraturas dentais, sintomas mais comuns desta condição.
Um estudo publicado em 2022 no ‘Brazilian Journal of Pain’ relatou o impacto da Covid-19 em aspectos psicológicos e bruxismo na população brasileira, tendo demonstrado que 71,41% dos entrevistados relataram estar apertando ou rangendo os dentes, e 100% informaram se sentir nervosos ou estressados.
Alguns poucos minutos são suficientes para realizar o ritual de higiene bucal. O simples ato de escovar os dentes pode demandar muita energia. O estresse e a ansiedade generalizada provocam no indivíduo a manutenção do estado de alerta (reação ou fuga).
O estado de alerta libera no organismo hormônios como cortisol, adrenalina e hidrocortisona, favorecendo o aparecimento das inflamações. Além disso, os sintomas abaixo são os mais evidentes na população:
- Depressão
Os episódios depressivos de maior intensidade têm como característica o abandono do autocuidado. Tomar banho, pentear o cabelo e escovar os dentes são tarefas que costumam ser deixadas de lado. Por isso, é comum pacientes depressivos desenvolverem cáries e outras complicações. Por exemplo, pacientes jovens com episódios depressivos severos apresentam tendência de desenvolvimento de cáries agudas, enquanto pacientes adultos apresentam maior tendência para desenvolvimento de doenças da gengiva ou ósseas”.
- Ansiedade e estresse
O estresse e a ansiedade podem desencadear o bruxismo. Uma pergunta muito importante: você costuma acordar com fortes dores de cabeça, zumbidos no ouvido ou estalos no maxilar? Se sim, pode ser consequência do bruxismo, o ato involuntário de apertar ou ranger os dentes, ou seja, as causas do bruxismo têm relação com uma combinação de fatores físicos, emocionais, psicológicos e ambientais.
- Transtornos alimentares
Transtornos como anorexia, bulimia e compulsão também podem afetar negativamente a saúde da boca. Há perda de tecido dental duro (esmalte, dentina ou cemento, o tecido mineralizado que cobre as raízes dos dentes, unindo-os ao osso alveolar). Isso porque essas condições costumam ser acompanhadas de vômitos recorrentes, o que altera o pH (nível de acidez) da saliva. O pH bucal neste caso torna-se extremamente ácido, sendo recomendável a utilização de produtos de higiene oral com pH neutro ou básico. Recomenda-se também a esses pacientes que evitem refrigerantes (alguns fazem uso de refrigerantes “zero” para saciar parcialmente a fome sem ingerir calorias, mas se esquecem de que estes são produtos muito ácidos (pH 2,5).
- Uso de medicamentos
O próprio uso de medicamentos psicotrópicos, como antidepressivos, ansiolíticos e antipsicóticos, pode provocar problemas bucais a longo prazo. A boca seca – efeitos colaterais desses remédios, é o principal desencadeador desses problemas. A saliva é extremamente importante para o equilíbrio da flora bucal.


O Departamento de Odontologia do Seconci-SP oferece a seus pacientes um atendimento personalizado para entender as dores orofaciais odontológicas que são oriundas de doenças ou distúrbios funcionais que envolvem o aparelho mastigatório, particularmente a cavidade oral, dentes, maxilares, articulação temporomandibular (ATM) e os músculos da mastigação. O paciente passa pela triagem e é acolhido pela equipe especializada, são realizados os tratamentos de reabilitação dentária e se fornecem placas mio relaxantes para alívio e tratamentos dos sintomas das disfunções temporomandibulares.






